介入病区
科室介绍:
周口市中医院介入病区开设床位23张,具备完善的医护团队,现有医疗护理人员11人,医师6人,其中副高级职称1人,中级职称5人,科室人员曾前后前往北京天坛医院、河南省人民医院、郑大一附院等知名医院进修培训学习,和国家、省级专家保持密切的交流和联系,提高了学术队伍的整体水平。
诊疗范围:
颅内动脉瘤,脑血管狭窄,颈动脉狭窄,椎动脉狭窄,颅内血管畸形,三叉神经疼,高血压脑出血,颅脑损伤等的疾病的微创介入治疗。
我科与北京天坛医院神经介入中心,郑州大学第一附属医院介入中心长期合作,省专家定期来院坐诊,由省专家主刀手术,无需额外费用,让百姓不出周口,即可享受到省甚至国家专家的诊疗服务。

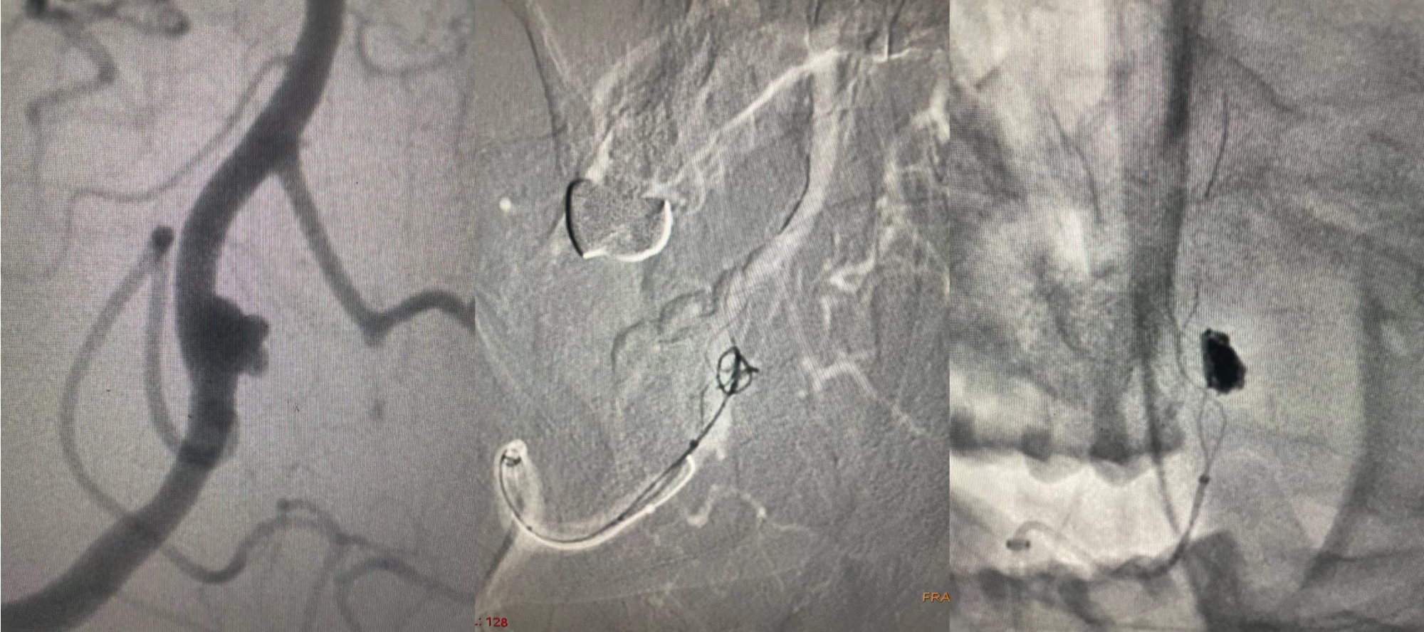
颅内动脉瘤的介入治疗:支架辅助弹簧圈栓塞颅内动脉瘤

颅内血管狭窄:介入治疗,球囊扩张后支架置入
诊疗特色:
科室目前开展中药熏洗、耳针、艾灸、药棒穴位按摩、中药穴位贴敷、中药封包、穴位注射等传统中医特色疗法。科室在中医理论基础上与现在的治疗方法相结合,治疗各种需要介入干预的缺血性脑血管病、颅内动脉瘤、脑出血、肿瘤和外周血管疾病。
科室理念:
秉承“专业专注,用心服务”这一科室理念,科室全体人员以技术上追求精益求精,服务上追求全心全意为患者提供更好的医疗服务。
科室联系电话:
医生办:0394-8238099
护士站:0394-8390699
地址:内科病房楼2号楼4楼 介入病区
科室医生简介

王猛
介入病区主任,副主任医师。主要从事脑血管疾病的治疗,擅长高血压病脑出血,重度颅脑损伤,颅内动脉瘤,蛛网膜下腔出血,脑血管狭窄,颈动脉狭窄等疾病的治疗。

郭 栋
“中原学者——韩新巍教授”团队专家医学博士,讲师,副主任医师,湘雅医学院影像医学硕士,郑州大学博士。
学术成果: 目前国内外专业期刊发表研究论文10余篇,其中SCI收录6篇,参编专著5部,获得专利3项,获得各级科技成果奖励6项。擅长疾病种类主要致力于脑梗塞、脑动脉瘤等脑血管疾病介入诊疗的基础和临床治疗研究。

李治国
“中原学者——韩新巍教授”团队专家 中共党员,医学博士,副主任医师 获得市级科技成果多项,以第一作者发表SCI论文五篇,国家级期刊发表中文论著多篇。承担并完成院内青年科研基金项目一项,参与国家自然科学基金研究多项。国际血管联盟中国分部血管转化医学专家委员会委员;白求恩精神研究委员会介入医学分会第一届理事会理事;河南省呼吸与危重症学会介入医学专业委员会委员;中国科技产业化促进会数字健康专业委员会委员;河南省医学传播学会委员。致力于临床多种复杂、疑难病例的介入诊疗,在神经介入治疗领域具有较深造诣,擅长于颈动脉狭窄、颅内动脉狭窄、颅内动脉瘤、颅内及脊髓血管畸形、瘘等疾病的介入治疗。

袁永杰
特聘专家,郑州大学第一附属医院神经介入科副主任医师,神经外科学博士。河南省卒中学会神经介入分会委员、河南省医学会介入治疗学会神经学组委员。主要从事脑动脉瘤,蛛网膜下腔出血,脑血管狭窄,脑血管畸形,静脉窦血栓,特发性颅高压,硬脑膜动静脉瘘等脑脊髓血管疾病的诊治及微创介入治疗。

高艺博
主治医师,主要从事脑血管疾病的治疗,擅长高血压病脑出血,颅内动脉瘤,脑血管狭窄,颈动脉狭窄,颅脑损伤等疾病的治疗。

郑恣峰
主治医师,从事脑血管疾病的介入诊疗,擅长缺血性脑血管病,如颈动脉狭窄,椎动脉狭窄等;出血性脑血管病,如颅内动脉瘤破裂引起蛛网膜下腔出血等疾病的治疗。
- 脑病一病区
- 治未病科
- 心病一病区
- 营养科
- 肝胆脾胃病一病区
- 脑病二病区
- 医疗美容科
- 心病二病区
- 肝胆脾胃病二病区
- 脑病三病区(老年医学科)
- 心病三病区
- 肝胆脾胃病三病区
- 脑病四病区
- 心胸外科
- 内分泌(糖尿病)病区
- 脑病五病区
- 普外一病区
- 肾病病区
- 肺病病区
- 普外二病区
- 骨科一病区
- 神经外科(脑外科)
- 泌尿外科
- 骨科二病区
- 重症医学科(ICU)
- 急诊科
- 妇科
- 康复中心
- 肿瘤科
- 产科
- 介入病区
- 透析中心
- 儿科
- 纺电病区
- 慢性创面修复中心
- 新生儿重症监护病区
- 卒中中心
- 心电图
- 脑电图室
- 超声科
- CT室
- 放射科
- 磁共振室
- 病理科
- 检验科
- 精准药学实验室
- 超声介入科
- 内镜中心
- 国医堂
- 科室介绍
- 门诊内科
- 乳腺甲状腺科
- 体检中心
- 心理科
- 周围血管科
- 医保门诊
- 皮肤科
- 肛肠科
- 不孕症科
- 口腔科
- 耳鼻喉科
- 眼科
- 气管炎科
- 风湿科
- 手术室
- 介入手术室
- 输血科
- 日间手术室
- 泌尿男科
- 眩晕诊疗中心
- 风湿病科

